ホワイトニング

ホワイトニングの種類

歯が黄色い、歯の色が気になる、このような歯の色に対する悩みは多々あると思います。
歯を白くするホワイトニングは、現在、主に2つの方法が用いられています。
■オフィスホワイトニング
歯科医院で行われる方法で、歯の表面にホワイトニングジェルを塗りその上から光を照射し、歯の色を白く変えていく方法。

白い歯の写真■ホームホワイトニング
歯科医院で患者さんの歯型に合ったマウスピースを作成しマウスピースの中にホワイトニングジェルを塗りご自宅でケアしていく方法。

オフィスホワイトニングとホームホワイトニングに使用するジェルは濃度が違います。
そのため当院ではオフィスホワイトニングを行いながら、ご自宅でもマウスピースによるホームホワイトニングを行う方法(デュアルホワイトニング)をお勧めしております。それにより、より自然な白さを引き出せます。

ホワイトニングの注意点

ホワイトニングの回数や治療期間には、個人差があります。

白い歯の写真ほとんどの歯はホワイトニング可能ですが、人工歯はホワイトニングできません。また、歯に大きな亀裂があるものや、虫歯が大きいもの、などはホワイトニング前に治療が必要であったり、 ラミネートベニア等の治療が適している場合があります。

また、一度白くなった歯は永久に白いままではありません。数年で後戻りすることがあります。ほとんどの場合後戻りがあると再ホワイトニングをすることになります。ですが、当医院では特殊な歯磨き剤により後戻りを防止します。

ホワイトニング Q&A

Q1.どんな人でも使用可能でしょうか?
ほとんどの方が可能です。しかし、それほど効果がない場合もあります。当院で使用する( 『Tion(G.C)』は、健康な天然歯を白く輝かせるのに適しています。)使用を希望されると、歯科医が事前に診査・診断した上で、ホワイトニングの適応症かどうかを判断します。
※但し、下記の場合は使用不可となります。
健全でない歯/就寝中の装着/無カタラーゼ症の方/妊娠中・授乳期の女性/小児/重度の歯肉炎や歯周炎を発症している方

Q2.安全に使用することができますか?
はい。 『Tion(G.C)』ジェルの主成分は、過酸化尿素です。過酸化尿素を用いる歯のホワイトニングに関しては、多くの研究と臨床例が報告されているので、歯科医の適切な指導のもとで使用すれば、歯や歯肉に悪影響を及ぼすこともなく安全です。

Q3.副作用はありませんか?
治療期間中、まれに知覚過敏(歯がしみるような症状)が起きることがあります。その場合も、治療を一時中断することにより、症状は軽減または消失するので安心ですが、歯科医と相談しながら中断・再開の時期を判断していけば、いっそう安心です。

Q4.効果はどのくらい持続するのでしょうか?
個人差にもよりますが、処置前の状態に戻ることはありません。しかし、カフェインやタバコなどの着色の原因になるものを日常的に摂取している場合は、再度ホワイトニングが必要となりますので、定期的に歯科医による診査・診断を受け、継続的に使用してください。

ホワイトニング料金表

オフィスホワイトニング1回 ¥44,000(税込)
オフィスホワイトニング2回 ¥55,000(税込)
ホームホワイトニング ¥44,000(税込)
オフィス+ホーム(デュアルホワイトニング) ¥77,000(税込)
ホームジェル(2本) ¥6,600(税込)

※お得で長持ちするデュアルホワイトニングがお勧めです

ホワイトニング症例

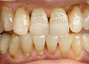
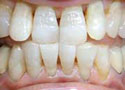
20代女性

ホワイトニング前 ホワイトニング後

30代女性

 
ホワイトニング前 ホワイトニング後

60代女性

 
ホワイトニング前 ホワイトニング後

▲ページトップに戻る